Белоснежная улыбка – залог уверенности в себе и успеха в жизни. Но почему-то со временем зубы темнеют и покрываются налетом. Зубной камень связан с некачественной гигиеной ротовой полости, общим состоянием здоровья и пристрастием человека к определенным видам продуктов. Чистка зубов от камня необходима людям в разном возрасте – юношестве, зрелости и в старости. Ведь красивые и чистые зубы – это не только эстетическое преимущество, а еще и защита от патологических бактерий и микроорганизмов, образующих налет. Удаление камней с зубов следует доверять профессиональному стоматологу.
Камни на зубах бывают следующих видов –
Камни на зубах (синоним – твердые зубные отложения) принято делить на наддесневые и поддесневые.
- Наддесневой камень на зубах (рис.1-6) – виден невооруженным глазом при осмотре зубов, т.к. локализуется всегда выше уровня десны. Он может быть темным или желтоватых оттенков. Камень такой локализации не представляет сложности для его удаления, в отличие от следующего типа.
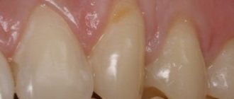
- Поддесневые камни на зубах (рис.7) – локализуются ниже уровня десны, и поэтому их не видно при обычном визуальном осмотре зубов. Однако, в большинстве случаев в местах где присутствуют поддесневые зубные отложения – десна имеет синюшный вид, она отёчна и легко кровоточит. Также может наблюдаться небольшое гноетечение из пародонтального кармана, в котором находится камень.
Наличие таких камней говорит о развитии пародонтита, и связано с разрушением прикрепления десны к зубу, а также разрушением костной ткани вокруг зуба. В результате разрушения кости между десной и зубом образуются так называемые пародонтальные карманы, в которых всегда локализуется зубной камень (рис.4).
Камни на зубах, локализующиеся под десной, можно обнаружить только при помощи инструментов у стоматолога. Делается это при зондировании пародонтальных карманов специальными инструментами, либо во время пародонтологических операций. Лишь немногие стоматологи умеют снимать поддесневые зубные отложения, т.к. их поиск и удаление занимают очень много времени.
Симптоматика
Зубной камень
Зубной камень небольших размеров может совершенно никак себя не проявлять. Но если отложения уже достаточно большие, то в таком случае могут проявиться такие симптомы:
- боль во время пережёвывания пищи;
- кровоточивость дёсен;
- повышение чувствительности некоторых зубов;
- гиперемия и отёчность десны;
- неприятный запах изо рта;
- сформированные камни могут царапать язык.
Зубной камень: причины возникновения
После еды в полости рта остается большое количество пищевых остатков, которые используются бактериями полости рта для своей жизнедеятельности. Прежде всего бактериями используются легко-усвояемые углеводы, которые содержатся в сладких, мучных продуктах. Установлено, что при отсутствии должной гигиены только в течение 1 дня – количество бактериального налета в полости рта увеличивается в 2 раза.
Но бактерии используют питательные вещества не только для размножения, но и для выработки специальных ферментов (энзимов), которые позволяют бактериям плотно прикрепиться к поверхности зуба. При отсутствии должной гигиены – прикрепившиеся к зубам отдельные точечные бактериальные колонии сливаются, образуя значительную по размерам массу бактериального зубного налета (рис.8-9). На этом этапе зубной налет является еще мягким, и его можно удалить обычной зубной щеткой.
Далее будет происходить постепенная минерализация мягкого микробного зубного налета, который в результате превратится в твердый зубной камень. Минерализация (кальцификация) мягкого зубного налета происходит путем оседания содержащихся в слюне белков и солей кальция – на поверхности бактериальных колоний. Процесс минерализации идет в сочетании с наслоением новых колоний бактерий. Таким образом, зубной камень и растет (24stoma.ru).
Параллельно микробный зубной налет выделяет токсины и медиаторы воспаления, которые запускают воспалительные явления в десне. Основными признаками воспаления десен являются –
- кровоточивость при чистке зубов,
- покраснение или синюшность десен,
- боли в деснах,
- гноетечение из пародонтальных карманов,
- подвижность зубов…
Воспаление в десне жизненно необходимо бактериям и вот почему. В месте прилегания десны к зубу есть зубо-десневая борозда, в которую из десны в небольших количествах постоянно продуцируется жидкость – также называемая зубо-десневой. Эта жидкость содержит большое количество солей и белков, которые нужны бактериям для роста колоний.
Запуск процессов воспаления в десне приводит к резкому увеличению продукции зубо-десневой жидкости, и в результате колонии микробов получают еще больше белков и солей, необходимых для кальцификации зубного камня. Таким образом, первичное появление зубного камня всегда приводит к развитию воспаления в десне, которое в свою очередь способствует еще более быстрому образованию зубного камня. И далее по кругу.
Причины образования зубного камня: выводы
Многие люди часто задают одни и те же однотипные вопросы: от чего образуется зубной камень, почему образуется зубной камень… Надеемся, что вам становится понятным, что единственной причиной появления зубного камня является исключительно….
- Недостаточная гигиена полости рта – в результате чего происходит резкое увеличение микробного зубного налета, прикрепление бактерий к поверхности зубов. После того, как мягкий микробный налет минерализуется солями кальция – он превращается в твердый зубной камень, снять который при помощи зубной щетки уже невозможно.
Скопления микробного зубного налета и зубного камня на зубах приводят к развитию воспаления десен (гингивиту и пародонтиту). Воспаление в деснах в свою очередь еще больше ускоряет скорость образования твердых зубных отложений.
Как зубные камни влияют на здоровье человека?
Следить за различными отложениями важно по многим причинам. Зубные камни могут портить внешний вид зубов и оказываться опасными для ротовой полости.
Больше 90% образований представляют собой многочисленные микроорганизмы, которые активно размножаются во рту. Колонии микроорганизмов могут менять собственные свойства, в результате чего становятся патогенной микрофлорой. Затем начинают развиваться инфекции внутренних органов, воспаления десен. Одновременно происходит разрушение тканей. Корни зубов обнажаются. Постепенно процесс все больше усугубляется.
Зубы прикрепляются к костному основанию нижней, а также верхней челюстей. В прикреплении особенно важными оказываются тонкие соединительные волокна. Образование камня происходит на внешней части зуба и внутри десны в связи, с чем он может разрушать соединение зуба с челюстью, становиться причиной развития пародонтита.
Микроорганизмы могут выделять разные кислоты, разрушающие зубную эмаль, вызывающие поверхностный кариес. Именно на этом этапе лечение у стоматолога становится поистине важным.
В ротовой полости образовывается слюна, которая одновременно оказывает бактерицидное воздействие и нейтрализует влияние кислоты на ткани зуба. Однако при появлении камня она не может попасть в нужное место для того, чтобы гарантировать максимальную защиту от вредоносных кислот, выделяющихся во время пережевывания любой еды.
Array
Что делать после удаления камня
Удаление камня под десной является несколько травматичной процедурой, поэтому после ее проведения врач дает рекомендации по поводу ухода за полостью рта в период восстановления.
Первые 2 недели следует использовать лечебно-профилактическую пасту на натуральной основе с противовоспалительными компонентами. Рекомендуется ополаскивать рот несколько раз в день с использованием аптечного антисептика и отвара трав. Первые несколько дней можно пользоваться мягкой щеткой, но затем обязательно перейти обычную, то есть средней жесткости.
После проведения процедуры нужно помнить, что регулярная профессиональная гигиена у врача позволяет предупредить скопление налета и появление заболеваний, что с ним связаны. Проводить кабинетную чистку нужно не реже 1 раза в год, а в идеале – каждые 6 месяцев.
К чему приводят зубные камни –
- Запах изо рта – микробы выделяют вещества, которые дурно пахнут. Согласитесь, что неприятно даже разговаривать с человеком, а уж тем более целоваться, когда изо рта идет неприятный запах.
- Воспаление десен (гингивит и пародонтит) – воспаление десен имеет инфекционную природу. Микробный зубной налет и зубные камни выделяют токсины и медиаторы воспаления, которые запускают в десне процесс воспаления. Воспаление характеризуется сначала отеком и покраснением десен, кровоточивостью, болезненностью при чистке зубов – такие симптомы характерны для гингивита.
Если гингивит не лечится вовремя, то воспаление захватывает не только краевую десну, но и костную ткань, а также приводит к разрушению зубо-десневого прикрепления. В результате гингивит превращается в пародонтит. Для последнего (помимо сохранения всех симптомов гингивита) характерно развитие подвижности зубов, гноетечения из пародонтальных карманов, атрофии костной ткани и оголение корней зубов… - Кариес – нужно помнить, что кариесогенные микроорганизмы, входящие в состав мягких и твердых зубных отложений – в процессе переваривания пищевых остатков выделяют соляную кислоту. Эта кислота разрушает эмаль зуба в месте контакта, после чего дефект заселяется микрофлорой и зуб начинает гнить.
Увидеть, как выглядит кариес на распиле зуба Вы можете в статье: → «Что представляет из себя кариес зуба» - Заболевания слизистой оболочки полости рта – скопление микробной флоры на зубах способствует развитию воспаления в слизистой оболочке полости рта, которое может проявляться образованием эрозий, язв и даже некрозом участков слизистой, развитием стоматита…
- Ухудшение течения сопутствующих хронических заболеваний – сердечно-сосудистых, ревматоидного артрита, сахарного диабета и т.д. Это происходит за счет всасывания в кровь токсинов, выделяемых микробным зубным налетом. Токсины разносятся с током крови и влияют на функции органов и систем.
Профилактические мероприятия
Как и любую другую стоматологическую проблему, зубной камень легче предупредить, чем лечить.
Начальные признаки зубного камня очистить намного проще, и для этого стоматолог может использовать самые щадящие методы. Профилактика зубных отложений заключается в следующем:
- правильная гигиена ротовой полости;
- здоровое питание;
- правильный подбор щетки и зубной пасты;
- правильные движения щетки во время гигиены рта;
- введение в рацион твердых овощей и фруктов;
- полоскание рта после каждого приема пищи, желательно использовать специальные растворы, которые будут более эффективно бороться с патогенной флорой, чем обычная вода;
- регулярное профилактическое посещение стоматолога – раз в полгода.
Важно! Если причина появления зубного камня кроется не только в неправильном уходе за зубами и погрешностях в питании, необходим комплексный подход к проблеме.
К сожалению, даже после полного удаления зубного камня, его повторное образование не исключено, раз и навсегда избавиться от этой проблемы не получится. Именно поэтому так важно регулярно посещать стоматолога, и придерживаться всех рекомендаций, которые он дает.
В некоторых случаях, в качестве профилактических мероприятий можно использовать средства народной медицины, но лечить уже сформировавшийся зубной камень можно только профессиональными способами. Несмотря на то, что удаление – это далеко не приятная процедура, проводить ее нужно обязательно. Только так можно сохранить здоровье зубов и иметь красивую улыбку.
Профилактика зубного камня –
Единственная профилактика – это гигиена полости рта. Регулярная и правильно проводимая. Этому вопросу посвящена на нашем сайте целая статья: «Как правильно чистить зубы», но наиболее важные е моменты перечислим ниже.
Основы хорошей гигиены полости рта –
- Зубы чистятся абсолютно после каждого приема пищи – это главное и основное правило.
- Перед использованием зубной щетки и пасты необходимо очистить межзубные промежутки от остатков пищи при помощи зубной нити (флосса), т.к. щетинки зубной щетки не приникают глубоко в межзубные промежутки. Это правило второе по степени важности.
- Гигиена вне дома осуществляется по принципу – зубная нить (ей можно воспользоваться где угодно, в том числе в гостях, на улице) + жевательная резинка. Но одна лишь жевательная резинка не убережет вас от появления зубного камня.
Источники:
1. Доп. профессиональное
, 2. На основе личного опыта работы пародонтологом, 3. National Library of Medicine (USA), 4. American Academy of Periodontology (USA), 5. «Терапевтическая стоматология. Учебник» (Боровский Е. В.).
Как снять зубной камень в домашних условиях
«Свежие» зубные камни можно легко удалить дома без помощи стоматолога. Для этого можно использовать сразу несколько способов:
- Народные средства ― удалить камень помогают подручные средства: лимонный сок, перекись, отвар хвои, соль и сода. На основе этих средств делают массу для чистки зубов.
- Зубные щетки ультразвукового типа или с вращающейся головкой хорошо справляются с пигментацией зубной эмали и наддесневыми минеральными отложениями.
- Специальные зубные пасты и гели ― это абразивные средства для гигиены зубной полости с выраженным противомикробным и отбеливающим эффектом.
Как осуществляется лечение?
Независимо от того, имеется у человека проблема или нет, посещать стоматологический кабинет и производить профессиональную чистку зубов необходимо дважды в год.
Процесс удаления нежелательных отложений в среднем занимает не более 1 часа. Для этих целей в последнее время все чаще используют ультразвук. Но в некоторых клиниках по-прежнему выполняют кюретаж. Это достаточно болезненная процедура, в ходе которой стоматолог механическим способом соскабливает все отложения с поверхности жевательных органов при помощи специальных металлических инструментов (кюрет и серповидных скейлеров).
Ультразвуковая чистка является более совершенным методом, так как в процессе нее пациенты не ощущают ничего кроме легкого дискомфорта, а эффективность такого способа гораздо выше, чем у кюретажа. Кроме того, ультразвук параллельно оказывает антибактериальный эффект, чего нельзя сказать о кюретаже.
Процедура ультразвуковой чистки выполняется при помощи специального аппарата, генерирующего ультразвуковые колебания на конце специальной насадки. Удаление отложений достигается как за счет непосредственного касания насадкой проблемных участков с камнем, так и в результате кавитации – эффект сильного завихрения жидкости.
Полезно знать!
В процессе кавитации из жидкости активно выделяется кислород, проникает вглубь налета (камня) и разрушает его, параллельно дезинфицируя обрабатываемый участок.
Благодаря кавитации камни малой и средней плотности удаляются без прикосновения к проблемным местам насадкой. В случае с камнями высокой плотности применяются специальные размягчающие препараты. С ними процедура проходит абсолютно безболезненно, не наносит никаких травм мягким и твердым тканям (деснам, эмали).
После удаления отложений в обязательном порядке производится шлифовка и полировка поверхности жевательных органов. Очищенная поверхность эмали имеет пористую шероховатую структуру, если ее не отшлифовать, то уже через несколько дней-недель налет, а затем и зубной камень образуются снова.
Для шлифовки эмали используют специальные насадки (щеточки, резиночки), а для полировки фторсодержащие пасты.
Обратите внимание!
Несмотря на то, что сама процедура является абсолютно безболезненной, выполняют ее практически всегда под анестезией, так как ощущения во время нее доставляют определенный дискомфорт.
После процедуры около трех дней нельзя употреблять в пищу продукты, в составе которых имеются красящие вещества (красители). Также рекомендуется больше внимания уделять гигиене полости рта, использовать для этого качественные пасты, щетки, флоссы, ополаскиватели.
Возможные причины
Образоваться зубной камень может практически у любого человека, даже у тех, кто строго придерживается правил гигиены ротовой полости. Происходит это в основном из-за нарушения солевого обмена. Предрасполагать к возникновению патологии могут следующие факторы:
- Слишком мягкая зубная щетка и некачественная паста.
- Неправильный прикус.
- Пережевывание пищи на одной стороне челюсти.
- Курение.
Если рацион человека по большей части состоит из мягкой пищи, то зубы перестают самоочищаться в процессе жевания, а это ведет к появлению налета на эмали.
На самой ранней стадии каменные отложения формируются только на шейке зубов, позднее уплотняются и распространяются на их коренную часть (невидимая часть, расположенная под десной) и коронку (видимая, выступающая часть жевательных органов).
Проблема также может возникать на фоне некоторых заболеваний желудочно-кишечного тракта и изменения состава слюны.
В ряде случаев к образованию каменных отложений может привести длительный прием антибактериальных средств.