Молозиво без беременности причины: 6 факторов появления


Общие сведения

Когда выделяется жидкость из груди, это явление часто свидетельствует о развитии заболевания молочной железы. Исключение – это период вынашивания малыша, когда такие выделения из груди могут появляться на протяжении беременности. Поэтому, как только у не беременной женщины начинают на протяжении продолжительного времени появляться белые выделения из сосков или жидкость любого другого цвета, ей срочно нужно пройти исследование и как можно скорее провести то лечение, которое назначит врач.

Такой симптом должен насторожить и представителей сильного пола. Ведь он может проявляться, если развивается воспаление молочной железы у мужчин или другие патологические процессы. Поэтому жидкость из молочных желез у представителей обоих полов – тревожный признак, с которым нужно сразу же обращаться к специалисту.

Молозиво из груди, как возможное заболевание желез

К отрицательным выделениям из молочных желез можно отнести любую жидкость кроме грудного молока и молозива на период беременности, которое должно выделяться из одного или двух сосков. В остальных случаях данное явление принято считать отклонением от нормы. Особенно если выделяющаяся консистенция зеленоватого, коричневого или кровянистого цвета.

Выделение жидкости из молочных желез без наличия беременности является признаком заболевания, которое требует немедленного лечения.

Если вы заметили выделения, которые не соответствуют вашему состоянию, а именно если вы не беременны, нужно отправиться на консультацию к врачу маммологу. Нанести визит в поликлинику нужно как можно раньше, ведь такое состояние может привести к более серьезным последствиям.

Почему появляются выделения из груди?

Факторов, провоцирующих такой симптом, существует немало, и они разнообразны. Ниже перечислены основные причины этого явления:

  • Нарушение баланса гормонов, приводящее к развитию галактореи.
  • Эктазия молочных протоков.
  • Постоянное ношение тесного сдавливающего белья.
  • Воспаление молочной железы.
  • Злокачественные процессы в молочной железе.
  • Применение оральных контрацептивов.
  • Внутрипротоковая папиллома.
  • Вынашивание плода.
  • Применение ряда лекарственных средств – подобное может спровоцировать прием амитриптилина и др.
  • Мастопатия.
  • Травмирование груди.

Патологические выделения

Выделения из груди незадолго до месячных могут быть вызваны усиленной деятельностью гормональной системы

. Они выглядят как прозрачные, желтоватые или беловатые капли и выходят в небольших количествах. Их появление может быть спровоцировано приемом гормональных препаратов, например, противозачаточных средств.

Иногда чрезмерная гормональная активность

– явление временное, которое прекращается самостоятельно, но подобные нарушения не проходят бесследно для женского здоровья. Кроме того, гормональный дисбаланс может оказаться следствием серьезного заболевания, поразившего органы эндокринной или репродуктивной системы.

Другими причинами появления секрета из молочных желез выступают дисгормональные и воспалительные заболевания

, доброкачественные и злокачественные опухолевые патологии. Распространенными нарушениями считаются мастит, галакторея, фиброаденома, эктазия молочных протоков, внутрипротоковая папиллома. Также неестественные выделения вызывает травма груди.

Воспалительные заболевания и травмы

могут спровоцировать в тканях молочных желез инфекционный процесс. В результате этого в протоках накапливается патологическая жидкость, которая выделяется из сосков.

Фиброаденома груди

является доброкачественной опухолью, которая развивается из-за повышенной активности половых гормонов. Жидкость при этой патологии выделяется перед менструацией или в середине цикла.

При галакторее

у женщины наблюдается излишний синтез гормона пролактина, который ответственен за выработку грудного молока. Причинами этого нарушения могут быть болезни щитовидной железы, патологии гипофиза, прием гормональных препаратов.

Выделение жидкости происходит и при развитии опасных онкологических заболеваний

. В таких случаях жидкость нередко имеет примеси крови, а у женщины наблюдаются и дополнительные симптомы – деформация соска, зуд и шелушение кожи в области ареол.

О строении молочной железы

Женская молочная железа – парный орган, задача которого – обеспечение лактации. Из молочной железы выделяется молоко для вскармливания потомства. В основном молочные железы состоят из паренхимы – железистой ткани. В каждой груди есть 15-20 долей, разделенных соединительнотканными перегородками. Доли состоят из долек, а дольки из альвеол. Молоко выделяется по млечным протокам, которые отходят от каждой доли по направлению к соску.

В период, когда женщина вынашивает малыша, происходит постепенное разрастание железистой ткани, так как идет подготовка груди к лактации.

Немного ниже середины груди расположен сосок, который окружает темная кожа. У женщин, которые уже рожали, пространство около соска и сосок темного бурого цвета, у молодых девушек – розового.

Кожные покровы околососковых альвеол и сосков очень нежные и ранимые, поэтому в период беременности и особенно грудного кормления увеличивается риск трещин и попадания инфекций.

Виды выделений

По цвету выделений можно предположить, какова причина аномалии. Уточняется диагноз путем дополнительного обследования.

Белые

Объем и оттенки (от белого до светло коричневого) могут варьироваться. В виде нескольких капель они появляются в результате сильного сдавливания молочной железы, так как в протоках всегда находится жидкость, препятствующая слипанию стенок и закупорке протоков.

После прекращения кормления грудью молочные выделения продолжаются еще несколько месяцев с постепенно убывающей интенсивностью. Это процесс естественный. Если объем не уменьшается, выделения наблюдаются больше полугода, то необходимо обратиться к врачу, так как это может быть симптомом патологии.

Белые выделения из желез возникают также при наличии заболеваний, связанных с гормональными нарушениями, повышением уровня пролактина . Молочно-белая жидкость выделяется из сосков после искусственного прерывания беременности. Это также связано с гормональной перестройкой в организме.

Гнойные

Такие выделения могут быть симптомом возникновения нарыва, гнойного процесса внутри протоков. Абсцесс требует неотложного лечения с помощью антибиотиков, специальных компрессов. В отдельных случаях требуется вскрытие очага воспаления для очистки от гноя.

Кровянистые

Появление таких выделений из молочных желез может свидетельствовать о доброкачественном или злокачественном новообразовании, в которое вовлечены мелкие сосуды, расположенные в железистой ткани.

Темно-зеленые

Появляются в результате воспаления млечных протоков, которые заполняются густой черно-зеленой жидкостью.

Выделение молозива перед месячными

Что это за проявление и нормально ли, когда в последние дни перед началом менструации выделяется молозиво из груди, интересует многих женщин. Ответ на вопрос, может ли выделяться молозиво перед месячными, позитивный. Но только если подобное происходит накануне менструации, и из груди выделяется 1-2 капли прозрачного секрета. В таком случае беспокоиться по этому поводу не стоит.

Однако если у женщины активно выделяется молозиво без беременности, причины этого явления должен определить врач. Ведь часто появление жидкости из сосков перед месячными свидетельствует о гормональном дисбалансе и других нарушениях.

Нормальная лактация

Лактация — сложный процесс выработки молока в женской груди, в его регуляции принимают участие следующие гормоны:

  • соматропин, образуется в гипофизе;
  • кортизол, вырабатывается в надпочечниках;
  • трийодтиронин, производится щитовидной железой;
  • эстроген, синтезируется в яичниках и жировой ткани;
  • инсулин, продуцируется поджелудочной железой;
  • и, в завершении, самый «важный» гормон, участвующий в продукции молока — пролактин, который вырабатывается в гипофизе.

Рост пролактина в крови наблюдается с первых дней зачатия, а в конце беременности его цифры «зашкаливают». В этот период из молочных желез начинает выделяться молозиво (или «раннее» молоко). Раздражение сосков стимулирует выработку этого гормона. Как только прекращается период кормление грудью, его уровень возвращается к обычным величинам.

Галакторея у беременных или в период грудного вскармливания рассматривается как естественный результат нормально протекающей лактации. Если она не прекращается через год после окончания кормления грудью — это считается патологией. Может ли выделяться молозиво перед месячными, то есть появиться лактация, когда женщина не беременна? Да, такая ситуация возникает, когда в ее организме происходят гормональные нарушения.

Как правило, когда перед месячными выделяется молозиво, в крови женщины можно выявить высокие уровни пролактина. Тем не менее, существуют и другие причины этого явления.

Галакторея — это не самостоятельное заболевание, а состояние грудных желез, указывающее на то, что в них синтезируется молоко. Для многих женщин такая ситуация не имеет никакого клинического значения. Тем не менее, в некоторых случаях наряду с другими патологическими симптомами она является признаком серьезной болезни. Особое внимание надо обращать, когда выделение молозива перед месячными сочетается с нарушением менструального цикла.

Выделения из молочных желез при беременности

Уже с первых дней после зачатия начинаются изменения молочных желез. Грудь увеличивается, становится чувствительной, на ней часто проступает венозная сетка.

Достаточно часто у будущих мам появляются выделения из груди при беременности. В большинстве случаев это молозиво желтого цвета. Иногда выделения из сосков при беременности имеют молочный оттенок. Такие признаки являются предвестниками молока.

Ведь в период, когда женщина вынашивает малыша, происходит активное увеличение в объеме молочных желез ввиду разрастания железистой ткани. Именно так действует на молочные железы гормон пролактин.

Чаще всего молозиво из груди во время беременности начинает выделяться накануне рождения малыша. Но иногда выделения из грудных желез при беременности появляются и раньше – во втором триместре, примерно на 23 неделе беременности.

Только после рождения ребенка, через 2-3 дня, молозиво сменяет молоко. Но молозиво – нужное для малыша вещество, так как оно очень калорийное и содержит большое количество антител, очень важных для новорожденного.

Если выделения из груди появляются еще до рождения малыша, важно строго следить за гигиеной и отслеживать состояние сосков. Грудь утром и вечером нужно обмывать кипяченой водой, после чего аккуратно вытирать насухо. Рекомендуется также делать воздушные ванны для сосков – эта процедура является профилактикой появления трещин после родов.

Тем, кто отмечает, что выделения марают белье, следует носить специальные прокладки. Если цена прокладок для грудных желез для беременных покажется высокой, можно применять для этих целей стерильные ватные диски, которые продаются в аптеках.

Если женщину беспокоят определенные особенности этого симптома, ей лучше рассказать об этом гинекологу.

Также обращаться к врачу беременной нужно в следующих случаях:

  • при регулярных ноющих болях в груди;
  • при неравномерном увеличении молочных желез;
  • если на груди появляются впадины или бугры;
  • если из груди появляются кровянистые выделения.

Важно носить удобное белье, которое не будет стеснять грудь.

Анатомия сосков и изменения в груди при беременности

Соски — «окончания» груди, наружные выпуклые части молочных желёз. Форма сосков у женщин индивидуальна. Она может быть конусовидной (чаще у нерожавших женщин), цилиндрической, с выпуклыми или втянутыми сосками. Их окружают ареолы — пигментированные участки кожи округлой формы. Диаметр каждой из них также индивидуален, но обычно у нерожавших женщин он не превышает 5 см, а у рожавших может достигать 8 см.


Сосок состоит из ареолы и непосредственно соска, также возможно появление бугорков Монтгомери

С наступлением беременности под воздействием гормонов происходит разрастание долек желёз. В результате грудь и соски:

  • увеличиваются в размерах;
  • набухают;
  • становятся более чувствительными.

Под воздействием меланоцитов усиливается пигментация сосков — они обретают тёмно-коричневый цвет. Увеличиваются потовые железы, что приводит к образованию так называемых бугорков Монтгомери на ареолах. Они могут исчезнуть после родов или остаться навсегда, что тоже является нормой.

Изменения сосков — варианты нормы

Грудь — орган, крайне чувствительный к гормональным перепадам в организме. Поэтому её состояние меняется в течение срока вынашивания и после родов. Рассмотрим подробнее возможные изменения в области сосков, в зависимости от срока вынашивания, которые считаются вариантами нормы.


По мере увеличения срока беременности растёт и темнеет ареола на груди

Первый триместр

После успешного зачатия соски могут стать чрезвычайно чувствительными к прикосновениям. Даже при ношении бюстгальтера или во время бега возможно возникновение болезненных ощущений. Такое состояние обычно возникает незадолго до задержки месячных и продолжается в течение нескольких недель или всего первого триместра беременности. Постепенно грудь тяжелеет, увеличивается в размерах. К концу первого триместра соски немного темнеют, значительно набухают, а диаметр ареолы увеличивается.


Уже в первом триместре вам может понадобиться сменить бельё на более мягкое, из натуральных тканей, обеспечивающее безопасную поддержку растущей груди

Второй триместр

В начале второго триместра беременности болезненность и высокая чувствительность сосков значительно снижаются. Однако обретённый в первом триместре объём молочных желёз сохранится и впоследствии может возрасти за счёт прироста общей массы тела женщины. Увеличенное количество крови в организме может привести к появлению особой смазки на сосках. Такая секреция выделяется из бугорков Монтгомери. Они располагаются на ареолах сосков и имеют белые «стержни».

Важно: считается, что назначение бугорков Монтгомери — защита сосков от повреждений и пересыхания кожи, а после родов — привлечение младенца тонким запахом.

Не нужно пытаться избавиться от бугорков Монтгомери или беспокоиться по поводу их появления — достаточно соблюдать стандартные правила гигиены. Также на сосках могут проступить подкожные вены, что тоже связано с увеличением объёма циркулирующей крови в организме. Возможно, что уже на этом этапе из сосков начнёт выделяться молозиво — полупрозрачная или желтоватая густая жидкость.

Запрещено пытаться сцедить молозиво — это может привести к сокращению матки, выкидышу или преждевременным родам. Если молозива слишком много, то пользуйтесь прокладками для кормящих мам, которые вставляются в бюстгальтер. Отсутствие выделений не считается отклонением — секрет может вообще не выделяться из сосков на протяжении всей беременности. Нормальным считается и потемнение ареол.


Вкладыши в бюстгальтер бывают разной толщины, одноразовые и многоразовые

Третий триместр

В третьем триместре беременности объём груди увеличивается по максимуму — обычно она становится больше на 1–2 размера в сравнении с добеременным периодом. Максимального объёма достигают ареолы сосков, а кончики немного вытягиваются вперёд, готовясь к предстоящему грудному вскармливанию. Происходит гиперпигментация — соски темнеют, обретают тёмно-коричневый цвет. Из-за стремительного роста тканей может ощущаться зуд. Чем ближе срок родов, тем больше вероятность появления молозива из сосков.

Объём выделяемого секрета из груди индивидуален.

При минимальном количестве молозиво скапливается непосредственно на кончиках сосков, образуя желтоватый густой налёт. Возможно, что молозиво будет сочиться или капать — сцеживать его по-прежнему не рекомендуется. В третьем триместре несколько снижается чувствительность сосков — так природа заботится о женщине, защищая её от болезненных ощущений при сосании груди малышом после родов. Однако не всегда их удаётся избежать, особенно тем, кто становится мамой впервые. Плоские втянутые соски к концу беременности немного выпячиваются. При плоских сосках можно применять специальные приспособления для вытяжения на первых порах либо силиконовые накладки на грудь, облегчающие грудное вскармливание.


Если к моменту родов соски останутся втянутыми — наладить грудное вскармливание поможет специальное приспособление, вытягивающее сосок подобно шприцу

У некоторых женщин соски почти не меняются во время беременности, при этом после родов устанавливается стабильная лактация. Характерные изменения могут произойти у конкретной женщины частично, быть сильно- или маловыраженными. В редких случаях возможно появление пигментных пятен, папиллом на сосках. Такие образования требуют наблюдения специалистов.

Основными гормонами, оказывающими влияние на процессы перестройки, происходящие в молочных железах в период беременности, являются хорионический гонадотропин (синтезируется плацентой), пролактин и гормон жёлтого тела — прогестерон. После родов в организме женщины под влиянием пролактина секретируется молоко, в выделении которого принимают участие инсулин, кортизол и гормон гипофиза окситоцин. К концу 5–8-й недели беременности молочные железы у многих женщин заметно увеличиваются в размерах, становятся тяжелее, усиливается пигментация ареолы, расширяются поверхностные вены. Процесс подготовки груди к лактации продолжается до самых родов. Во второй половине беременности женщины могут отметить самопроизвольное выделение капелек молозива из сосков, что является нормальные физиологическим процессом, который не должен вызывать какого-либо беспокойства.

Попадинец Мария Васильевна, врач маммолог-онколог, гомеопат

https://mammolog.in.ua/sitemap/70/

Когда нужно насторожиться

В период беременности особенно важно заботиться о груди, избегать переохлаждения, натирания сосков нижним бельём. Стоит посетить врача-маммолога, чтобы убедиться в отсутствии кист, новообразований, опухолей в молочных железах. При обнаружении каких-либо проблем этот доктор должен наблюдать женщину на протяжении всего срока вынашивания.

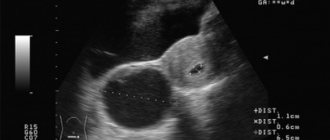
УЗИ молочных желёз проводится с помощью ультразвуковых лучей. Этот метод диагностики абсолютно безопасен и рекомендуется всем пациенткам в возрасте от 20 лет и старше, в том числе беременным и кормящим женщинам. Ультразвуковое исследование позволяет детально визуализировать лимфатические узлы и выявить метастазы. Кроме того, возможности УЗИ позволяют провести допплерометрию молочных желёз, то есть изучить кровоток в груди для комплексной диагностики злокачественных и доброкачественных новообразований.

рентгенолог, врач-маммолог Иван Смирнов

https://www.sncmedia.ru/body/12-voprosov-o-zdorove-grudi-otvechaet-vrach-mammolog/

Перечислим симптомы, которые должны насторожить и стать поводом для обращения в медицинское учреждение:

  • отёчность, уплотнение груди, сопровождаемые высокой температурой тела (возможно развитие мастита);
  • воспаление бугорков Монтгомери — покраснение, тёмные точки на сосках и пр.;
  • резкое осветление ареол сосков (вероятны нарушение кровообращения или замершая беременность);
  • выделения из сосков с неприятным запахом или необычного цвета — коричневые, кровяные, розовые, зеленоватые (воспалительный процесс в груди);
  • появление корочек, трещин, участков шелушения на сосках;
  • резкая боль в области сосков;
  • разный цвет сосков, их отличия по диаметру или цвету ареолы (возможно наличие доброкачественного или злокачественного образования в молочной железе).


Если состояние груди внушает опасения — врач назначит УЗИ

Особо хочется выделить тему маститов. Бытует ложное мнение, что он бывает только у кормящих матерей. Мастит может быть в любом возрасте. У новорождённых детей (чаще девочек), подростков, в период беременности, в период кормления грудью, после абортов, при переохлаждении организма, и даже в период менопаузы. Редко, но встречаются также маститы у мужчин. Внимание! В период беременности и в период лактации важно сохранять грудь в тепле, беречь от сквозняков, не находиться возле кондиционеров.

Попадинец Мария Васильевна, врач маммолог-онколог, гомеопат

https://mammolog.in.ua/sitemap/70/

Болезни, при которых выделяется молоко из груди

Ниже пойдет речь о наиболее распространенных причинах развития такого состояния.

Галакторея — что это такое?

Галакторея – это состояние, при котором молоко или молозиво у не беременных женщин истекает самопроизвольно. Такое состояние определяется и тогда, когда после прекращения грудного кормления через пять и более месяцев течет молоко или молозиво.

Причины галактореи связаны с избытком пролактина, под воздействием которого образуется молоко. У мужчин галакторея тоже развивается, так как в организме сильного пола пролактин также вырабатывается.

Развитие галактореи происходит в связи с воздействием разных факторов. Она может быть следствием опухоли гипофиза (пролактиномы), образований или травм гипоталамуса, болезней щитовидной железы, яичников, надпочечников. Также галакторея может быть последствием стресса, печеночной и почечной недостаточности.

Идиопатическая галакторея – состояние, когда определить причину самопроизвольного истечения молока невозможно. Как свидетельствует медицинская статистика, примерно в половине случаев выявить, почему это происходит, не удается.

Почему выделяется из сосков молозиво при беременности

Выделения из сосков – это необычное явление для дам, которое может тревожить и пугать, если они еще не кормят малыша грудью. Но, реагировать таким образом стоит не во всех случаях. Иногда молозиво – это обычное явление, а в некоторых случаях – очень тревожный сигнал.
В этой статье вы найдете полезную информацию о том, что делать, если обнаружили у себя подобные выделения. И, ситуация будет рассмотрена в трех случаях – если вы беременны, если не беременны, и если вы только что обзавелись малышом.

При беременности в организме может появиться немало изменений. Увеличение области живота в размерах, увеличение груди – это стандартные явления, которые преследуют дам все девять месяцев беременности.

А вот, к примеру, пигментные пятна и прыщи – это явления, обходящие некоторых беременных стороной. К ним относится и молозиво.

Оно не обязательно должно выделяться у каждой беременной женщины, ведь любой организм индивидуален.

В случаях, когда выделения из сосков сопровождаются неприятными симптомами или имеют специфическую структуру, стоит обращаться к врачу. Вот явления, на которые нужно обращать особое внимание:

  • Повышение температуры;
  • Боль в груди;
  • Боль в районе живота;
  • Кровянистые влагалищные выделения;
  • Асимметричность груди или возникновение уплотнений;
  • Гнойное молозиво;
  • Неприятный запах выделений.

Какого цвета молозиво при беременности

Его стандартный цвет – желтый полупрозрачный. При третьем триместре оно может быть более светлым и прозрачным или быть похожим на молоко.

В конце беременности могут быть нормой и грудные выделения с кровью. Но, нормой этой является не всегда, и во избежание неприятных последствий нужно отправиться на осмотр к врачу.

Когда появляется молозиво при беременности

При беременности молозиво может начать выделяться практически в любое время. Нет каких-либо определенных сроков, указывающих на то, что оно скоро начнет выделяться из груди. Это явление может застать в третьем триместре, в во втором или даже в первом. Но, обычно беременные замечают у себя молозиво в конце беременности, а это примерно с 32 недели.

Не стоит переживать, когда его появление будет совмещено с небольшим покалыванием или даже легким зудом в груди.

Молозиво на ранних сроках беременности

Учитывая, что оно, в большинстве случаев, сопровождает дам, уже готовящихся к родам, только что узнавшие о беременности женщины впадают в панику, увидев у себя капельки жидкости на сосках.

Причин для паники нет, ведь молозиво можно обнаружить уже после пары недель после зачатия. К тому же, его появлению и активному выделению способствуют некоторые факторы:

  • Контакт с горячим воздухом и горячей водой (посещение бани или сауны);
  • Воздействие на грудь (массаж);
  • Интимная близость;
  • Оргазм (даже без проникновения полового члена во влагалище);
  • Повышение температуры.

Может ли выделяться молозиво без беременности

Обычно, такой вопрос задают те, кто сталкиваются с ним при предменструальном синдроме. И, ответ на него прост – скорее всего, это признак беременности. Есть и другие причины подобных выделений:

  • Развитие патологии при гормональном дисбалансе;
  • Внутрипротоковая папиллома;
  • Мастит;
  • Эктазия протоков;
  • Фиброаденома;
  • Гематома из-за травмы.

Если беременность не обнаружена, и причиной грудных выделений стало что-либо из перечисленного, визит к врачу откладывать не стоит.

Молозиво после родов

Как правило, оно заменяет молоко несколько суток после родов. Поэтому, если у вас вместо молока вновь появилось молозиво, нет смысла переживать.

В такой жидкости содержится немало компонентов, способных насытить новорожденного. И, оно приятно для него на вкус. Можно сказать, что по количеству полезных веществ оно имеет значительное преимущество перед молоком. В нем содержатся:

  • Молочные тельца;
  • Белки;
  • Молочные шарики;
  • Минералы;
  • Витамины С, A, B, Е;
  • Углеводы;
  • Антитела;
  • Жиры.

Почему не рекомендуется сцеживать и выдавливать молозиво при беременности

Сцеживание молозива – это опасное и бессмысленное занятие. Такая жидкость не представляет никакой опасности и не доставляет особенных неудобств, поэтому избавляться от нее не нужно.

Но, есть и несколько причин, указывающих на опасность такого сцеживания:

  1. Если сильно воздействовать на грудь руками при беременности, в организме повысится окситоцин – вещество, способствующее сокращению матки и приводящее ее в тонус. А такие явления – провокаторы преждевременных родов и выкидышей.
  2. Если часто прикасаться к соскам, буде риск занесения инфекции в организм. А это может быть очень опасно, особенно, для беременных.
  3. Чем больше выводить из груди молозива путем сцеживания, тем больше организм его выработает. А его активная выработка усугубит ситуацию.

Как ухаживать за грудью в периоды выделения молозива

Главное правило при уходе – подбор подходящего белья. Бюстгальтер обязан быть чуть свободным, но хорошо держащим грудь. Лучше избегать кружев и декоративных элементов. Желательно, чтобы он был из натуральных дышащих тканей и имел мягкую подкладку.

Если бюстгальтер намок, его следует немедленно заменить. Влажность – великолепная среда для развития бактерий. Поэтому, нательное белье должно быть сухим.

В случаях, когда выделений очень много, нужно обзавестись специальными прокладками для груди. Их следует укладывать в бюстгальтер и следить за степенью их намокания. Если они стали влажные, желательно как можно скорее их заменять.

Омывать грудь следует теплой водой не менее двух раз в сутки. Использовать моющие средства при этом не нужно. После купание обязательно обтирайте грудь полотенцем легкими движениями, чтобы влага на ней не оставалась.

Источник: https://moeditya.com/pregnancy/vedenie/pochemu-vyidelyaetsya-iz-soskov-molozivo-pri-beremennosti

Выводы

Таким образом, каждая женщина должна понимать, что выделения из груди в норме появляются в следующих случаях:

  • За несколько дней до начала месячных.
  • При сильном половом возбуждении, стимуляции сосков и оргазме.
  • Во время беременности.

Если отделения появляются при других обстоятельствах, женщине необходимо обратиться к врачу. Для определения причин такого явления проводят следующие мероприятия:

  • осмотр груди и ее пальпацию;
  • пальпацию лимфатических узлов;
  • ультразвуковое исследование;
  • маммографию.

Образование: Окончила Ровенский государственный базовый медицинский колледж по специальности «Фармация». Окончила Винницкий государственный медицинский университет им. М.И.Пирогова и интернатуру на его базе.

Опыт работы: С 2003 по 2013 г. – работала на должностях провизора и заведующего аптечным киоском. Награждена грамотами и знаками отличия за многолетний и добросовестный труд. Статьи на медицинскую тематику публиковались в местных изданиях (газеты) и на различных Интернет-порталах.

Представительницы прекрасного пола могут наблюдать у себя выделяющееся из молочных желез молозиво, хотя беременность и грудное вскармливание отсутствуют. Подобное состояние именуется галактореей, при этом его нельзя считать отдельным заболеванием. Факторы, провоцирующие нарушение, имеют естественное или патологическое происхождение.

Не стоит игнорировать появляющиеся выделения либо пытаться устранить их самостоятельно. Определение причин и подбор действенных средств – прерогатива квалифицированного специалиста.

Диагностика

Диагностика состоит из нескольких мероприятий:

  1. Осмотр груди врачом-гинекологом, маммологом, пальпация молочных желез.
  2. Сбор анамнеза, анализ симптоматики, описанной пациенткой.
  3. Анализ крови для определения уровня концентрации половых гормонов.
  4. Маммография для определения наличия новообразований.
  5. В диагностически сложных случаях в качестве дополнительного метода может назначаться МРТ.
  6. При обнаружении новообразования проводится хирургическая биопсия для определения злокачественности опухоли.

Предотвратить большинство патологических состояний помогает своевременные регулярные осмотры маммолога.

При возникновении любой патологии необходимо обратиться к врачу

При выделении различного секрета из молочных желез по непонятным причинам не стоит откладывать визит к врачу или заниматься самолечением. Первым делом нужно исключить вероятность развития онкологии, сделать это сможет врач и лишь после проведения инструментальных и лабораторных методов диагностики. Применение народных средств часто предусматривает тепловые компрессы и аппликации, а также прогревание груди, что при течении воспаления может сильно ухудшить состояние и порой активизировать рост атипичных клеток.

При выделении секрета из сосков запрещается:

  • откладывать визит к маммологу или гинекологу;
  • прогревать молочные железы любыми возможными способами;
  • самостоятельно без консультации врача «назначать» себе прием гормональных препаратов – данном случае речь идет и о гормональных контрацептивах, их можно употреблять только после одобрения гинеколога;
  • выдавливать секрет – это может травмировать чувствительные ткани и простимулировать более активную выработку.

Прежде чем приступать к лечению, доктор должен правильно поставить диагноз. Для этого будет произведен визуальный осмотр, собран анамнез и выписаны направления на инструментальные и лабораторные методы диагностики. Чаще всего для постановки диагноза требуется проведение ультразвукового исследования (УЗИ), маммографии (после 40 лет, раньше только при подозрении на рак), компьютерная томография (КТ), магнитно-резонансная томография (МРТ), биопсия, клинический анализ крови.

Что такое молозиво?


Как только женщине удалось забеременеть, ее организм начинает перестраиваться, чтобы выносить и родить здорового малыша. Со второго-третьего триместра у большинства отмечается выделение молозива (колострума), хотя у некоторых оно есть на более ранних сроках.
Особенность молозива, представляющего собой вязкую, липкую жидкость беловатого или желтоватого оттенка, заключается в его калорийности (150 ккал на 100 мл) и сложном составе. Нельзя не отметить наличие большого количества белков, значительную часть которых составляют белки иммунных клеток.

В колоструме в отличие от зрелого молока содержится меньше воды, благодаря чему почки крохи защищены от чрезмерной нагрузки. Кроме того, малыш после рождения еще не способен принимать много пищи, а поскольку молозиво обладает большой энергоемкостью, ребенок получает достаточно калорий при небольшом объеме питания.

  1. Альбуминами и глобулинами. Имеют такой же аминокислотный состав, как и у белков тканей малыша. Отличаются легкой усваиваемостью и не провоцируют нежелательного напряжения органов ЖКТ.
  2. Солями натрия и калия. Подобное объясняет солоноватый вкус секрета.
  3. Факторами иммунной защиты (макрофагами, нейтрофилами, лейкоцитами, Т-лимфоцитами, интерфероном и прочими веществами). Их задача – обеспечение пассивного иммунитета, противоинфекционная и противоаллергическая защита при стремительном заселении микрофлоры. К примеру, интерферон имеет противовирусное свойство. Медики не зря считают молозиво настоящим лекарством для новорожденного. Достаточно 2 мл. секрета, чтобы в организме крохи произошел запуск процессов иммунизации.
  4. Лактоферрином. Вещество способствует нормальному усвоению железа.
  5. Иммуноглобулином А. Попадая в организм ребенка, покрывает поверхность кишечника и другие слабые места, что не дает различным инфекциям оказывать вредоносное действие.
  6. Веществами, образующими так называемый комплекс HAMLET. Они способны ликвидировать злокачественные клетки. Однако свойства данного комплекса раскрываются в полной мере только тогда, если мать кормит грудью.
  7. Антиоксидантами (витаминами А, Е, бета-каротином, селеном, цинком). Защищают от негативного влияния свободных радикалов.
  8. Гормонами и гормоноподобными факторами. С их помощью осуществляется стимуляция развития ЖКТ и организма в целом.
  9. Пребиотиками. В колоструме их присутствует более 130 видов. Их наличие обуславливает питание кишечной микрофлоры и защиту от инфекций. Они не дают болезнетворным бактериям прикрепиться к слизистой кишечника.

Какие функции молозива?

  1. Питательная функция

    . С молозивом ребенок получает все необходимые питательные вещества для роста и развития.

  2. Защита

    организма ребенка от патогенных бактерий, грибов и вирусов до того времени, когда не начнет полноценно функционировать иммунная система.

  3. Формирование

    нормального биоценоза кишечника.

  4. Ускорение

    выведения первородного кала из кишечника.

  5. Подготовка

    пищеварительного тракта к поступлению грудного молока.

  6. Ускорение

    созревания пищеварительного тракта ребенка за счет факторов роста, которые содержатся в молозиве.

  7. Конъюгация

    излишнего билирубина для предотвращения желтухи.

  8. Поступление

    в организм ребенка витаминов, антиоксидантов и микроэлементов.

Молозиво

– это ничем незаменимый пищевой продукт для младенца первых дней жизни, так как оно имеет состав, который идеально подходит для созревающего организма.

Причины выделения секрета из сосков у не беременных женщин


Может ли быть молозиво без беременности? Секрет из молочной железы способен выделяться по разным причинам. Нормальным считается выделение колострума при беременности или сразу после родоразрешения, а некоторые женщины отмечают появление желтоватой жидкости, похожей на молозиво, перед месячными.

Чтобы выяснить настоящую причину происходящего, следует записаться на консультацию к врачу.

Естественные факторы

На секрецию молока большое влияние оказывает гормон пролактин. Его синтез осуществляется в гипофизе, при этом содержание гормона возрастает в разы при беременности, грудном вскармливании и перед менструацией.

Галакторея – состояние, при котором выделяется молозиво у не беременных и не кормящих грудью. Однако в некоторых случаях оно может быть естественным.

Почему при отсутствии беременности и лактации происходит выработка колострума и когда подобное явление считается нормой? Секреция молозива допускается тогда, когда:

  • После завершения лактационного периода прошло не больше 5 месяцев.
  • Последняя беременность была максимум 2-3 года назад, при этом отсутствует кормление грудным молоком, а месячный цикл пришел в норму.
  • Произошло зачатие, хотя тест пока демонстрирует обратное.

Случается, что плод может замереть либо беременность по тем или иным причинам прерывается (например, после аборта), однако продукция молозива происходит. В таких ситуациях медики должны прописывать препараты, подавляющие выработку пролактина.

Почему идет молозиво из груди, если девушка не беременна? Секрет может выделяться не только в тех случаях, о которых говорилось выше. Его появление вполне допустимо:

  • Перед началом месячных.
  • При ношении тесного белья.
  • При занятии сексом во время надавливания на сосок и область соскового поля.
  • При частом массировании области груди.

Зачастую после месячных или окончания лактации данная проблема исчезает самостоятельно. Если она длится слишком долго и сопровождается неприятными симптомами, необходимо обратиться за медицинской помощью.

Заболевания и патологические процессы

Продукция молозива вне беременности, главным образом, возникает вследствие увеличения концентрации пролактина. Его количество может расти по причине многих нарушений. Другими словами, выделения провоцируются:

  1. Медикаментозными средствами. Секреция молозива бывает у женщин, принимающих гормональные препараты (оральные контрацептивы, стероидные гормоны), транквилизаторы, средства с седативным свойством, анальгетики, лекарства, позволяющие контролировать артериальное давление.
  2. Травами с лактогонным действием. Употребление многих растений (укропа, тмина, аниса, винограда, пажитника) часто практикуется для усиления выработки молока. Однако травы могут подействовать даже при отсутствии лактации.
  3. Пролактиномой – опухолью гипофиза, в котором происходит выработка гормонов, в том числе и пролактина.
  4. Патологическими образованиями в гипоталамусе.
  5. Гипотиреозом, при котором функции щитовидной железы понижаются, гормоны вырабатываются в недостаточном количестве, но пролактина, наоборот, становится больше.
  6. Болезнями надпочечников, сопровождающимися увеличением концентрации кортизола и его производных.
  7. Поликистозом яичников, развитие которого дополняется усилением секреции пролактина.
  8. Почечной или печеночной недостаточностью. Утилизация гормона осуществляется в почках. Если они поражены, пролактин накапливается в значительных дозах.
  9. Травмами, ожогами и хирургическим вмешательством в области молочных желез, последствием которых становится повреждение нервных волокон.

Когда из груди идет молозиво, его количество может быть самым разным. У большинства женщин, интересующихся, почему выделяется молозиво при надавливании, ситуация обладает двусторонним характером. Появление секрета из одного соска может свидетельствовать, как о патологическом, так и о естественном процессе.

Причины «неуместной» лактации

Не у каждой женщины удается установить причину выделения из сосков молозива во время месячных, в этой ситуации говорят об идиопатической (функциональной) галакторее. Обычно она возникает при нормальном содержании в крови пролактина, что связано, как предполагается, с повышенной чувствительностью молочной железы к этому гормону.

Возможные причиныОписание проблемы
МедикаментыОдной из наиболее распространенных причин «лактации без беременности» является прием лекарственных средств, которые влияют на ткань молочной железы. Противозачаточные таблетки, препараты от высокого кровяного давления, антидепрессанты или транквилизаторы — все они могут привести к появлению выделений из сосков.
ГипотиреозСостояние, при котором щитовидная железа не производит достаточного количества гормонов, что приводит к увеличению в крови пролактина. «Основного драйвера», как было сказано выше, участвующего в продукции молока.
Опухоли гипофизаГипофиз — место, где синтезируется множество гормонов, поэтому нарушения в нем могут привести к серьезным последствиям для человеческого организма. Пролактинома — наиболее часто встречаемая опухоль этой железы, в которой в больших количествах вырабатывается пролактин.
Повреждение нервовЛюбая физическая травма, которая повреждает нервы грудной железы, что может привести к стимуляции лактации. Хирургические вмешательства, ожоги и даже опоясывающий лишай в области груди — все это способствует появлению выделений из сосков.
Хроническая почечная недостаточностьПролактин утилизируется в почках. Если этого не происходит, то он накапливается в организме. У 30% больных, которые страдают хроническими заболеваниями почек, наблюдаются высокие уровни этого гормона, что может привести к «лактации без беременности».
Повреждения спинного мозгаВрачи наблюдают случаи, когда повреждения спинного мозга приводят к стимуляции эндокринных желез, что реализуется в конечном счете появлением лактации.
ТравыРастительные средства часто используются для стимулирования производства молока, но иногда они начинают «работать» даже тогда, когда женщина не кормит грудью. К ним относят: укроп, тмин, семена аниса, а также некоторые виды винограда.
Прерванная беременностьПосле аборта долго происходит восстановление гормонального баланса женщины, что может привести к «лактации без беременности».

Негативные симптомы образования секрета


Чтобы не пропустить начальный этап серьезного заболевания, следует проявлять внимательность к собственному здоровью. Насторожить должны следующие признаки:

  • Если спустя полгода после того, как ребенок был отлучен от груди, из груди спонтанно выделяются желтоватые капли, хотя женщина уверена, что беременности нет.
  • Если девушка никогда не беременела, а у нее появилось дурно пахнущее молозиво или отделяемое зеленоватого, коричневатого оттенка, с примесью крови или гноя.

Любая болезненность или неприятные ощущения должны насторожить женщину. Такое состояния может развиваться по причине протекания воспалительного процесса в тканях и протоках МЖ.

Жидкость может выделиться спонтанно либо только при нажатии. При наличии обильных спонтанных выделений возможно обнаружение доброкачественной опухоли гипофиза. При папилломе молочного протока отделяемое по виду иногда напоминает молозиво.

Лечение патологии

Не существует «универсального» лечения при галактореи, оно в основном направлено на устранение причины, которая привела к этому состоянию. Например, пролактинома (опухоль гипофиза) лечится медикаментозными средствами, также может применяться хирургическое вмешательство или лучевая терапия.В большинстве случаев эта опухоль не является злокачественной, не приводит к серьезным проблемам со здоровьем у женщины в долгосрочной перспективе.

Если выделения из сосков, похожие на молоко, появились в результате приема лекарственных средств, врач может порекомендовать прекратить их использование и начать принимать другие препараты.

Если выделения самостоятельно не прекращаются, существует несколько способов, которые хотя и не дают стопроцентную гарантию решения этой проблемы, но, по крайней мере, могут остановить ухудшение ситуации. Всегда стоит избегать стимуляции сосков, например, прикосновений к ним во время секса. Одежда, прилегающая к груди, не должна плотно ее охватывать, вызывая значительное трение при движении. Женщине не стоит забывать о самостоятельном осмотре молочных желез каждый месяц, а также неукоснительном выполнении всех инструкций врача.

Когда стоит серьезно обеспокоиться? Если прошло 6 месяцев после того, как женщина , а у нее спонтанно снова началась лактация, при этом она точно знает, что она не беременна — стоит незамедлительно обратиться к доктору. Другие «красные флажки» — если девушка никогда не была беременой, у нее появилось молозиво, а также если выделения из сосков не очень похожи на молоко (кровянистые или другого цвета, содержат гной, водянистые). Все это признаки серьезной проблемы, которая нуждается в немедленной медицинской помощи.

В период беременности вы заметили из груди выделение густой/вязкой/липкой консистенции желтоватого, прозрачного или сливочного оттенка — что это — нормальное явление или патология? Сразу поспешим вас успокоить — это выделяется молозиво — абсолютно нормальное и безопасное явление. Если во время всей беременности у вас молозиво не выделялось, это также вполне нормально.

Когда нужно обратиться к врачу?


Когда выделение колострума является нормой, жидкость имеет желтоватый оттенок. Если секрет выглядит по-другому, следует непременно прийти на прием к доктору – гинекологу или маммологу. Правда, обследование будет уместным в любом случае.

Чтобы подобрать эффективное лечение, врач должен выяснить, почему выделяется молозиво без беременности. Изначально осуществляется визуальный осмотр грудных желез, после чего пациентка направляется на прохождение:

  • МРТ и КТ;
  • маммографии;
  • УЗИ груди;
  • анализов крови.

Также понадобится убедиться в полном отсутствии беременности.

Что это?

Молозиво


это густая, вязкая, липкая жидкость желтоватого, прозрачного или сливочного оттенка, обладающая специфическим запахом и на вкус чуть сладковатое, которую выделяют молочные железы женщины в период вынашивания и вскармливания ребёнка. Выработка молозива в молочных железах – нормальный физиологический процесс. Обычно оно выделяется у женщин в первые два-три дня после появления ребёнка на свет. Но молозиво может выделяться и на разных стадиях беременности будущей мамы
. Молозиво называют ещё «незрелым молоком», так как оно предшествует появлению настоящего грудного молока. Отличается молозиво от молока также своим составом: в нём меньше жиров и сахара, но больше белка.

Так выглядит молозиво

Подбор лечебной терапии

Универсальных способов устранения галактореи не существует. Лечение напрямую зависит от факторов, спровоцировавших подобное состояние:

  1. Справиться с пролактиномой удастся при помощи препаратов, хирургического вмешательства или радиотерапии. Зачастую опухоль имеет доброкачественный характер и не вызывает серьезных нарушений в здоровье пациентки.
  2. Если молозиво появилось вследствие приема определенных лекарств, их использование следует прекратить. При необходимости врач подберет более подходящие медикаменты.
  3. Когда причину состояния определить не получилось, назначается терапия, действие которой направлено на снижение выработки пролактина.

Если применяемые способы оказались неэффективными, не исключено хирургическое удаление млечных протоков. Однако в большинстве случаев, секреция молозива прекращается самостоятельно, как только была устранена первопричина.

Что представляет собой первое молоко

Секрет молочных желез, образующийся во время беременности и в первые дни после родов, называется молозивом. Это тягучая жидкость желтой окраски, вкус у нее соленый, она издает особый запах. От состава зависит то, как выглядит молозиво. Оно качественно отличается от молока. По строению напоминает больше кровь, это первостепенная переходная форма от плацентарного питания к женскому молоку.

При питании молозивом организм младенца получает большее количество энергии, чем от молока. Для защиты не до конца сформированных почек от перенапряжения оно содержит мало жидкости. Концентрация пищевых компонентов высокая. Оказывает слабительное действие. Служит защитой от развития желтухи.

Этот секрет характеризуется значительным количеством быстро перевариваемых протеинов и маленьким числом казеина, молочных сахаров и жиров. В нем много витамина А и Е, бета-каротина, цинка и селена. Предполагают, что они защищают от «кислородного стресса», помогают развиться иммунной системе младенца.

Молозиво отличается от крови большим количеством Т-лимфоцитов. Противовирусная защита обеспечивается интерфероном, вырабатываемым лейкоцитами. Различные сахариды не дают многим бактериям прикрепиться к слизистым. С помощью лактоферрина удаляется ненужное число ионов железа, участвующих в росте бактерий. Болезнетворные микроорганизмы окисляются пероксидазными ферментами.

Многочисленными исследованиями подтверждается губительное воздействие секрета на многие бактерии, вирусы и грибки.

Профилактические меры


Чтобы не провоцировать усиление секреции молозива, рекомендуется соблюдение ряда правил:

  • Ношение просторной одежды и использование впитывающих прокладок, которые помещаются в бюстгальтер.
  • Стоит воздерживаться от прикосновений к соскам во время сексуальных контактов.
  • Самостоятельное обследование груди с целью выявления уплотнений желательно осуществлять не чаще одного раза в месяц.
  • Прекратить любые процедуры массажа груди.
  • При наличии травм обрабатывать пораженную область заживляющими средствами.
  • Фиксировать любые отклонения в менструальном цикле.

Механизм выработки молозива

Производство молозива может начаться с начала периода плодоношения без выведения наружу. Происходит это при подготовке к кормлению. Сначала оно более густое, при приближении родов разжижается. Появляющийся зуд молочных желез свидетельствует о том, что начали работать мышечные клетки, которые продвигают выработанную жидкость в протоках.

Когда у женщины не происходит лактация, ее молочная железа имеет мало секреторной ткани. Она начинает разрастаться, как только наступает беременность. Прогестерон и эстрогены вызывают ветвление протоков и образование альвеол. Секреторные эпителиальные клетки – лактоциты образуют стенку альвеол. Они занимаются выработкой молозива. Уже в третьем семестре лактоциты способны производить молоко, но большая концентрация гормонов вырабатываемых плацентой, особенно прогестерона, препятствует этому.

Каждая альвеола окружена миоэпителиальными клетками, которые под действием окситоцина сокращаются и выдавливают молозиво в млечные каналы. В это время чувствуется напряжение в груди. Гормон пролактин воздействует на лактоциты и стимулирует их к выработке секрета. Окситоцин и пролактин производятся железой головного мозга – гипофизом.

Темпы образования секрета молочными железами зависят от их истощения. Если начать сцеживать грудь, то выделяется молозиво, потом его образуется еще больше.

После отторжения плаценты запускаются процессы, которые производят смену секрета на молоко.

Когда появляется молозиво?

Выделение молозива может происходить в разные сроки, начиная от первых недель беременности и заканчивая последними месяцами. К слову, появление молозива может и не наступить, и это тоже норма. Многие беременные женщины и не подозревают о том, что у них появились выделения из сосков при беременности.

При надавливании на сосок происходит выделение нескольких капель прозрачно-желтоватой жидкости. В некоторых случаях молозиво выделяется более обильно, доставляя неудобства будущей маме. Но большинство женщин, все же, отмечают его появление в третьем триместре беременности. Появление молозива может сопровождаться покалыванием в области груди и зудом. Не стоит переживать по этому поводу: подобные ощущения вызваны расширением протоков в молочных железах.

Выделения молозива из груди при беременности чаще всего наблюдаются после стимуляции грудных желез (массажа или сексуальных ласк). Кроме этого, его выделению могут предшествовать эмоциональные переживания и перегрев беременной женщины.

Может ли выделяться молозиво без беременности: почему оно появляется

Очень важно запомнить тот факт, что без беременности (или если ее не было ранее) выделение молозива невозможно. Любая выделяющаяся жидкость должна быть обследована у врача, чтобы исключит все возможные заболевания.

Иногда молозиво проявляет себя из-за того что у женщины изменился гормональный фон или она принимала противозачаточные препараты. Врач в свою очередь в первую очередь назначит все необходимые анализы для того чтобы определить количество гормонов являющиеся причиной возникновения молозива.

Однако прежде чем начинать переживать позаботьтесь об исключении естественных причин.

А именно:

  • Возможно, вы не так давно кормили грудью, и молозиво является остаточным выделением;
  • У вас есть беременность, но срок еще слишком мал, чтобы определить его тестом.

Если все причины были устранены или не обнаружены, то речь пойдет о заболевании, которое имеет воспалительный характер или даже опухоль (злокачественная или доброкачественная).

Правила ухода за грудью в период беременности

Каждой беременной женщине следует помнить о гигиене молочных желез. Самое важное правило – это правильно подобранный бюстгальтер, который не давит и не пережимает грудь. Одноразовые прокладки для груди удержат молозиво и не дадут ему испачкать белье. Следует помнить о регулярной смене данных прокладок. Когда появляется молозиво у беременных, то необходимо несколько раз в день мыть грудные железы теплой водой. Данные меры уберегут от размножения бактерий, для которых теплое молозиво – благоприятная среда обитания.

Ни в коем случае нельзя сцеживать появившееся молозиво, ведь его не станет меньше, а, наоборот, его количество станет увеличиваться. Кроме этого, сцеживание груди стимулирует выработку окситоцина, который вызывает сокращение матки, что может привести к прерыванию беременности или несвоевременным схваткам.

Появилось молозиво во время беременности – что делать

При отсутствии угрозы прерывания беременности, появление молозива никак не должно вас беспокоить.

Если выделения очень обильные, воспользуйтесь специальными впитывающими вкладками для бюстгальтера, их можно приобрести в любой аптеке.

Правила ухода за молочными железами при выделении молозива:

  1. Меняйте прокладки как можно чаще, поскольку влажная теплая среда в совокупности с питательной жидкостью – отличное место для размножения различных болезнетворных микробов.
  2. Обязательно обмывайте грудь теплой водой, протирайте детскими влажными салфетками.
  3. Используйте гипоаллергенные увлажняющие крема для груди, это поможет избежать появления растяжек, трещин сосков в будущем.
  4. Старайтесь придерживаться правильного питания – уменьшите количество пищи с быстрыми углеводами, за 4–5 недель до родов увеличьте количество жиров в рационе.

Если выделяется молозиво из груди, его категорически нельзя сцеживать, запрещено делать массаж молочных желез – любая стимуляция может негативно отразиться на течении беременности. Помните, при активной выработке незрелого молока начинает активно сокращаться матка.

Усилить выделение молозива у беременных могут стрессы, половые контакты, жара, горячий душ или употребление горячих напитков и пищи.

Если у вас и так активно вырабатывается незрелое молоко, постарайтесь оградить себя от провоцирующих факторов.

Подготовка молочных желез к грудному вскармливанию

Природа позаботилась и об этом, поэтому женщинам практически ничего не нужно предпринимать для того, чтобы подготовить свою грудь к кормлению ребенка.

Многие рекомендуют производить растирание сосков во время беременности . Хотелось бы отметить, что данный способ подготовки груди имеет сомнительный эффект. Дело в том, что при растирании сосков полотенцем могут появиться невидимые нашему глазу микротрещинки, а это ворота для инфекции. Помимо этого, перед родами на сосках у женщин появляется невидимая защитная смазка, которая должна оберегать грудь от травмирования. Если активно растирать соски, то эта смазка повредится.

Рассасывание груди чужим ртом – метод негигиеничный и также неэффективный. У новорожденных детей есть сосательный рефлекс, они захватывают и сосут грудь особым образом. Поэтому подготовить грудь к кормлению с помощью рассасывания не представляется возможным.

Использование различных кремов против растяжек для груди допустимо, но в разумных пределах. Не переусердствуйте, втирая крем в кожу!

Важно знать! Если у женщины выделения из молочных желез при беременности не появляются, то это вовсе не означает, что ее ждет дефицит грудного молока. Количество грудного молока не зависит от того, сколько выделялось молозива в период беременности.

Подготовка груди к кормлению во время беременности

Что делать

Заметив выделения из груди, необходимо обратить внимание на их характер – цвет, консистенцию, количество жидкости, как именно она выходит (самопроизвольно или только при нажатии на грудь), часто ли выделяются капли, из одной молочной железы или обеих. Также важно отметить, нет ли каких-то дополнительных симптомов – болей или уплотнений в груди, повышенной температуры, головных болей или общей слабости. Все эти сведения потребуется озвучить на приеме у врача.

Если вы обнаружили выделения из молочных желез, которые никак не связаны с беременностью, обязательно пройдите обследование у маммолога. Особенно важно сделать это как можно скорее, если выделяемый секрет обладает необычным цветом, запахом или консистенцией. Возможно, причина этого непонятного проявления связана с естественными процессами, протекающими в организме или с его реакцией на принимаемые медикаменты. В любом случае, точный ответ даст только врач, поэтому игнорировать непонятный симптом не следует.

Появление выделений из сосков должно насторожить женщину. Выделения из молочных желез могут появиться в результате естественных физиологических процессов, но могут быть признаком различных заболеваний. Имеет большое значение, какого они цвета и консистенции, существуют ли какие-то дополнительные жалобы, возраст женщины. Раннее выявление заболеваний груди важно для излечения. Поэтому нельзя оставлять без внимания появление выделений, особенно если происходит изменение формы или размеров желез. Только врач может определить, есть ли в данном случае повод для волнений.

Содержание:

Опасные сигналы при выделении молозива

К сожалению, не всегда беременность проходит спокойно и легко. Так, когда появляется молозиво, имеются случаи, при которых женщине следует быть начеку.

К ним относятся:

  • кровянистые или темно-желтые выделения из груди;
  • появление на молочных железах бугорков и затвердевших мест;
  • различные боли в области грудных желез.

В любом из этих случаев лучше всего обратиться к врачу, чтобы исключить наличие серьезных болезней.

Итак, приносит наступившая беременность выделения из груди или нет – любой вариант может считаться нормой. Молозиво, когда появляется у беременных – очевидно, не повод для паники, а радостный сигнал о том, что все идет как надо.

Рекомендации

Важные рекомендации терапевта, акушера и гинеколога касаются в большинстве случаев правильного питания, обогащенного витаминами и микроэлементами, а также правильного образа жизни. Женщины, курящие до беременности или в процессе вынашивания малыша, рискуют осложнениями в виде пересыхания сосков, возникновение аллергий и раздражений на коже молочных желез. Никотин пересушивает кожу, делая ее более тонкой, восприимчивой к внешним факторам.

Важно!

Стоит пройти дополнительную консультацию у эндокринолога для исключения заболеваний щитовидной железы, поджелудочной и надпочечников. Эти органы могут воздействовать на беременность и выработку гормонов, что вызывает изменение качественного состава секреций из груди на поздних сроках.

Сроки появления молозива у беременных

Срок, когда появляется молозиво при беременности, у всех разный. Многое зависит от наличия причин, влияющих на его производство. Никто не сможет точно спрогнозировать, на каком месяце беременности оно появится. Для одних оно проявляется как небольшие капельки, а у других – разводами и влажностью на одежде.

В большинстве случаев причинами, когда начинает выделяться молозиво, служат:

  • массирование груди;
  • соитие;
  • теплый душ;
  • повышенная температура окружающего воздуха;
  • сильные положительные и отрицательные эмоции;
  • потребление горячих напитков.

Каждый раз при раздражении грудной железы вырабатывается молозиво и окситоцин, сокращающий матку. В результате существует опасность вызвать самопроизвольное изгнание плода. Вот почему нельзя выдавливать молозиво, делать массаж сосков. Готовясь к грудному кормлению, некоторые женщины начинают вытягивать соски и массировать полотенцем. При отделении секрета может появиться боль, изредка желание почесать.

Обнаружение молозива после рождения младенца в порядке вещей, это не означает, что потом нарушится лактация. Объем молозива – показатель, зависящий от многих факторов, может отличаться даже у одной и той же женщины в различные беременности. Иногда оно начинает появляться на ранних сроках вынашивания плода, что тоже является нормой. Увеличенная и набухшая грудь служит доказательством. То, на каком сроке появляется молозиво, ни о чем не говорит.

Готовясь к рождению и кормлению младенца, молочная железа приступает к производству секрета, который иногда не выводится наружу. Усиленное отделение молозива во время беременности – это рядовой и безобидный случай. Также и появление его во время или после родов не является патологией. Выделяемое молозиво при беременности – тягучее, желтоватое, клейкое.

Симптомом, сигнализирующим об интересном положении женщины, служит резкий рост, распухание груди, случается наблюдать молозиво на ранних сроках беременности.

Почему выделяется молозиво, если не беременна: основные факторы

Если у женщины нет беременности, а из груди начало выделяться молозиво в период критических дней, есть большая вероятность того, что появилось заболевание молочных желез. Однако перед тем как установить факт заболевания исключите все возможные варианты, из-за которых могли образоваться выделения. Иногда молозиво может продолжать выделяться еще несколько лет после того как вы родили, или же вы беременны, но срок слишком мал для точного определения.

В ином случае появление молозива может значить один из следующих 6 вариантов:

  • Появления гормонального дисбаланса, в данном случае образовывается патология молочных желез и уплотнения;
  • Наличие мастита, который появляется с болями и гнойными уплотнениями, поэтому то, что выходит из груди может быть не молозивом, а гноем;
  • Образование доброкачественной опухоли из-за чрезмерной активности половых гормонов, она подлежит хирургическому удалению;
  • Папиллома внутрипротокового типа, это еще один вариант опухоли, который лечится при помощи препаратов или операции;
  • Образование эктазии протоков, это случается в основном у женщин в преклонном возрасте и требует хирургического вмешательства;
  • Воспалительные процессы после получения гематомы.

Как видите вариантов много, и в любом случае необходимо обратиться к специалисту за консультацией.

Появление жидкости при патологии

Прозрачные и желтые выделения из груди считаются нормальным явлением. Но, если совместно с ростом и увеличением появляются дополнительные симптомы, то это указывает на формирование и развитие патологического процесса, возникает опасность для жизнедеятельности матери и младенца внутри утробы. При этом могут наблюдаться следующие признаки:

  • жидкость из сосков сменила окрас (зеленоватые, коричневые или с примесью крови);
  • выделения только из одной молочной железы;
  • припухлости (твердые округлые новообразования) при пальпации;
  • неравномерный рост;
  • тянущие боли по низу живота.

Основными причинами проявления таких неестественных признаков являются инфекции и и различные воспаления в тканях. Не исключаются и механические травмы, появляющиеся после падения или ударов, что также несет опасность для будущего вскармливания. Кроме того, возникает риск появления опухоли различного характера, которая под воздействием усиленного продуцирования женских гормонов начала увеличиваться. Любое отклонение от нормы должно быть известно врачу, чтобы начать своевременное лечение и при этом не навредить развивающемуся плоду.

Причины запрета

Грудь начинает готовиться к вскармливанию малыша задолго до его появления на свет. На первых неделях беременности, не проявляются никакие выделения, но начиная со второго триместра, появляется молозиво.

Можно ли выдавливать молозиво во время беременности?

Нет. Многие беременные женщины начинают замечать небольшие желтые пятнышки на нижнем белье, и большинство из них, в меру своей неосведомленности, пробуют выдавить молозиво. Женщины совершают это для того, чтобы разобраться в причинах появления неизвестных выделений из груди, а делать такое нельзя ни при каких обстоятельствах.

Почему нельзя выдавливать молозиво:

  1. возможно спровоцировать выкидыш;
  2. действие приводит матку в тонус, что на последних неделях может вызвать преждевременные роды;
  3. вероятно появление инфекционных воспалений из-за сладкой среды молочной жидкости;
  4. появляются трещины на сосках.

Поэтому выдавливать молозиво при беременности не стоит. Реально навредить организму, а также спровоцировать неприятности с развитием и рождением крохи. Требуется ухаживать за молочными железами, чтобы защитить их от нежелательных проблем.

Особенности гигиены груди во время вынашивания малыша:

  • не рекомендуется сцеживать молозиво во время беременности, чтобы не травмировать соски, и не способствовать увеличению образования молока раньше времени;
  • не передавливать грудь тесными бюстгальтерами, они должны иметь поддерживающий эффект;
  • мыть грудь необходимо теплой водой 2-3 раза в день, но без моющих средств;
  • при обильном выделении молозива, требуется использовать специальные подкладки для кормящих мам.

Необходимо понимать, что образование молозива – абсолютно нормальное явление при беременности. Поэтому не стоит паниковать из-за выделений, если только они не сопровождаются болью внизу живота, гноем или не имеют красноватый оттенок, тогда следует немедленно обратиться к врачу.

У каждой женщины все индивидуально, поэтому при отсутствии образования молозива до родов не нужно переживать – оно появится после рождения крохи.

На какие сигналы организма нужно обратить внимание

Тревожные сигналы, на которые будущей маме стоит обратить внимание:

  • Выделения появляются только из одной молочной железы.
  • Кровянистые выделения (даже если они появились лишь на один день, стоит проконсультироваться у маммолога).
  • Жидкость из соска имеет ярко-желтый цвет.
  • Подозрительный запах
  • Высокая температура тела, саднящая боль в груди и общее недомогание.

Перечисленная симптоматика может указывать на следующие патологии:

  • Галакторея
  • Дуктэктазия
  • Папиллома
  • Мастит
  • Травмы груди
  • Фиброзно-кистозная мастопатия
  • Болезнь Педжетта
  • Раковые опухоли

Тревожные симптомы

Молозиво во время беременности не всегда безопасно. Возможно появление молозива в самом начале беременности. Это может быть обусловлено широкой сетью молочных каналов, когда каплям не надо искать исхода. Иногда в молозиве отмечается наличие небольших кровянистых вкраплений. Если при этом не отмечается никакой другой симптоматики, то это не страшно. Происходит это из-за перестройки молочной железы, расширяются протоки, что вызывает травмирование сосудов. Наличие молозива у беременной может указывать и на начало угрозы выкидыша.

Если имеются патологические примеси, отмечается боль и плохое самочувствие, нужно немедленно направиться к специалисту.

Появление молозива у беременной не является патологией. Любой человек уникален, невозможно предугадать на каком сроке беременности будет выделяться молоко.

Рейтинг
( 1 оценка, среднее 5 из 5 )
Понравилась статья? Поделиться с друзьями:
Для любых предложений по сайту: zdorovo16@cp9.ru